MEMBRANA EPIRETINICA MACULARE
La membrana epiretinica maculare è composta da cellule con proprietà contrattili.
Aderendo strettamente alla macula sottostante, con il tempo induce una contrazione della macula stessa.
Cosa è la membrana epiretinica
La membrana epiretinica maculare è un tessuto situato sulla superficie retinica e nell'area maculare, che si può contrarre portando ad un abbassamento della vista e deformazione delle immagini.
Perché si produce
Si produce perché si depositano sulla superficie maculare delle cellule che normalmente provengono dalla retina, ma che possono provenire dagli strati sottostanti la retina come l'epitelio pigmentato.
Queste cellule secernono collageno e si dispongono a formare una maglia, in seguito possono trazionare il collageno.
Quando questo tessuto aderisce alla superficie retinica, contraendosi contrae e deforma la retina stessa.
Queste cellule secernono collageno e si dispongono a formare una maglia, in seguito possono trazionare il collageno.
Quando questo tessuto aderisce alla superficie retinica, contraendosi contrae e deforma la retina stessa.
Come si manifesta
I sintomi più frequenti sono la diminuzione della vista, la visione offuscata o la deformazione delle immagini.
Le linee appaiono distorte e i numeri e le lettere possono saltare di rigo.
Le linee appaiono distorte e i numeri e le lettere possono saltare di rigo.
Come si può prevenire
Queste membrane sono più frequenti a partire dai 50 anni di età, però possono comparire a qualunque età. Sono a volte conseguenza di una rottura retinica, che permette il passaggio di cellule provenienti dallo spazio sottoretinico.
A volte possono formarsi in seguito a trattamento laser retinici di grande intensità, come quelli eseguiti su retinopatia diabetica o su rotture retiniche grandi o multiple.
Inoltre si possono osservare in seguito a chirurgia oculare, per questo sono importanti i controlli postoperatori.
A volte possono formarsi in seguito a trattamento laser retinici di grande intensità, come quelli eseguiti su retinopatia diabetica o su rotture retiniche grandi o multiple.
Inoltre si possono osservare in seguito a chirurgia oculare, per questo sono importanti i controlli postoperatori.
DIAGNOSTICA
Esame del fondo oculare
La diagnosi di membrana epiretinica maculare può essere fatta esclusivamente da un oculista mediante esame del fondo oculare.
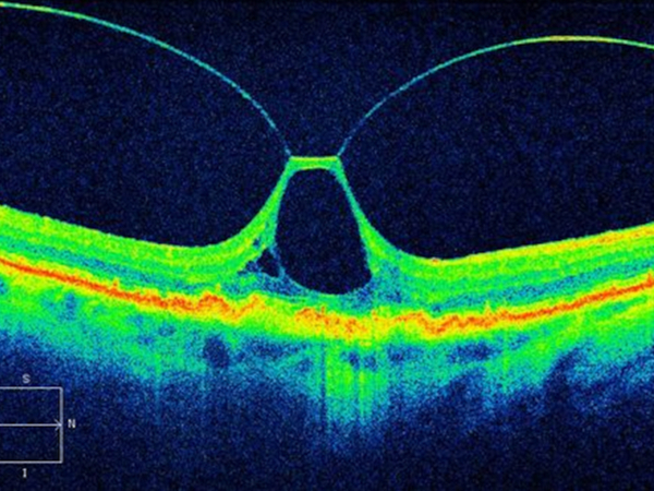
OCT
L’OCT, senza l’utilizzo di mezzi di contrasto, permette, attraverso l’uso di una sonda laser ad infrarossi, di ricostruire l’anatomia della retina nella regione maculare.
In caso di membrana epiretinica aiuta nella diagnosi e fornisce una quantificazione del problema.
In caso di membrana epiretinica aiuta nella diagnosi e fornisce una quantificazione del problema.
TRATTAMENTO
Vitrectomia
Quando necessario il trattamento delle membrane epiretiniche è esclusivamente chirurgico, e consiste in una vitrectomia minimale e sucessiva asportazione meccanica di suddetta membrana con una pinza dedicata.
Esplora la vitrectomia
Esplora la vitrectomia
